瑞柏生物科技股份有限公司
最新消息
促銷DM
展會資訊
公告
關於瑞柏
產品分類
廠牌介紹
專刊特區
分子生物技術
細胞相關研究
熱門領域研究
生醫年會專刊
儀器設備
常見問題
Minimate EVO Tangential flow filtration 切向流過濾系統
組裝操作影片
常見問題解答
如何組裝Minimate
濃縮離心管相關
西方墨點(WB)相關
過濾相關
重組蛋白相關
聯絡我們
Line
詢價車
0
詢價結果
產品分類列表
細胞實驗
細胞增生 Cell Proliferation
產品明細
Bucculite™ XdU Cell Proliferation Kit 細胞增生檢測試劑組 (螢光顯微鏡或流式細胞儀)
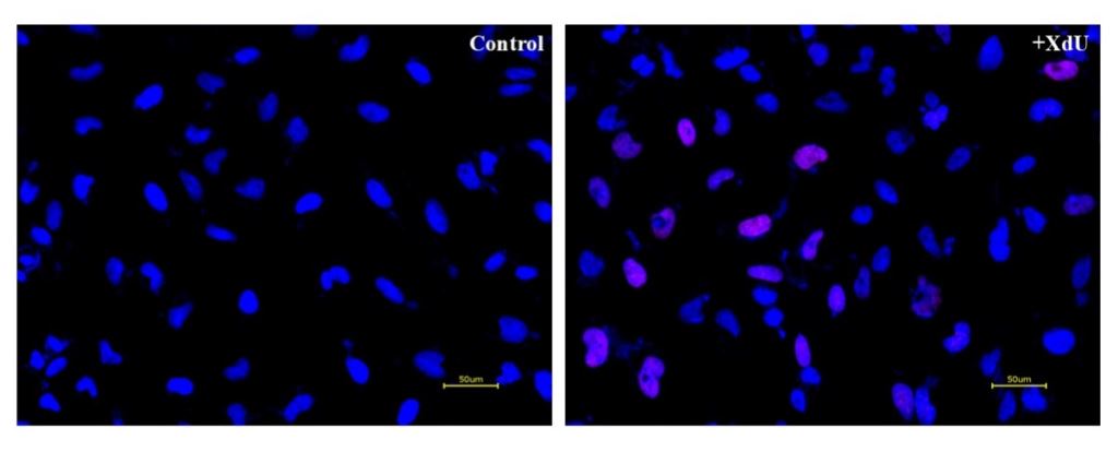
檢測細胞增生是評估細胞存活率、細胞週期和遺傳毒性最可靠的方法之一,其中一個重要方法是在細胞生長的 S 期,在胸腺嘧啶 (thymidine) 存在下測量 DNA 的合成。 Bucculite™ XdU Cell Proliferation Kit 使用 XdU,在 DNA 合成過程中會併入細胞 DNA 中。固定細胞後,以 iFluor® MTA 來標記併入的 XdU,最後以相對應的濾光片組對細胞中形成的 iFluor® 標記 DNA 進行影像觀察或以流式細胞儀分析。 Bucculite™ XdU Cell Proliferation Kit 提供了一種替代抗 BrdU 抗體和 EdU 的點擊化學檢測法,靈敏度高,可用於細胞層級測量活性 DNA 的合成。
我要詢價
處理中請稍候...
商品詳細介紹
Product Introduction
測定新合成的 DNA 是偵測增殖細胞最可靠、最精確的方法。其中傳統的方法是於細胞週期的 S 期將胸腺嘧啶類似物 (thymidine analog) - BrdU (Bromo-deoxyuridine) 併入新複製的 DNA 中,後續可使用螢光標記的抗 BrdU 抗體來偵測 BrdU 標記的增殖細胞,但 BrdU 法的步驟繁多,需要使用BrdU抗體,影響因素較多且穩定性比較差。
與 BrdU 檢測不同,Bucculite™ XdU Cell Proliferation Kit 不需使用抗體來定量新合成的 DNA,也不需 DNA 變性來促進 BrdU 標記的核苷酸的抗體檢測。AAT Bioquest 利用點擊化學反應,以獨有含炔烴的胸腺嘧啶類似物 (alkyne-containing thymidine analogs) - XdU 混合物,在 S 期會被併入到新合成的 DNA 中。隨後,透過銅來催化疊氮化物-炔烴的環加成反應 (azide-alkyne cycloadditio),也就是點擊反應,將各種含有吡啶甲基疊氮化物 (picolyl azide) 基團的螢光分子 (例如 iFluor® 488 azide) 與XdU 混合物連結在一起,來檢測併入 DNA中的 XdU。
由於此試劑組使用點擊化學反應來偵測增生細胞,因此背景干擾極小且反應條件溫和,能夠保留細胞的形態、抗原結合位及樣品的完整性,後續能夠使用細胞週期染劑、細胞表面標記的抗體或螢光蛋白來進行多重分析。XdU 併入後,其反應及後續洗滌步驟可在 60 分鐘內完成,並可使用影像系統或流式細胞儀對新合成的 DNA 進行定量分析。
訂購資訊
偵測方法
品名
螢光顏色
激發 (Ex)
散發 (Em)
偵測通道
貨號
包裝
螢光顯微鏡
Bucculite™ XdU Cell
ProliferationFluorescence
Imaging Kit
綠色
(iFluor® 488)
FITC filter set
FITC filter set
FITC filter set
22326
200 Tests
紅色
(iFluor® 555)
Cy3/TRITC
filter set
Cy3/TRITC
filter set
Cy3/TRITC
filter set
22327
200 Tests
深紅色
(iFluor® 647)
Cy5 filter set
Cy5 filter set
Cy5 filter set
22328
200 Tests
流式細胞儀
Bucculite™ Flow Cytometric
XdU Cell Proliferation
Assay Kit
藍色
(mFluor™ Violet 450)
405 nm
450/40 nm
Pacific Blue
22321
200 Tests
綠色
(iFluor® 488)
488 nm
530/30 nm
FITC
22323
200 Tests
紅色
(iFluor® 647)
633/640 nm
660/20 nm
APC
22325
200 Tests
回列表頁
購物車
0
會員登入
購物須知